Dr. Kapolka Judit

Clear Correct
Wenn Sie Ihre Zähne begradigen möchten, könnte ClearCorrect genau das Richtige für Sie sein. ClearCorrect-Aligner sind bequem, herausnehmbar, fast unsichbare Aligner und das Beste ist, dass sie funktionieren, ohne Ihr tägliches Leben zu beeinträchtigen. Essen Sie, was Sie wollen, putzen und verwenden Sie wie gewohnt Zahnseide und erhalten Sie geradere Zähne, ohne dass jemand weiß, dass Sie in Behandlung sind – so einfach ist das.
KOMFORTABEL
UNSICHTBAR
WIRKSAM
EINFACH
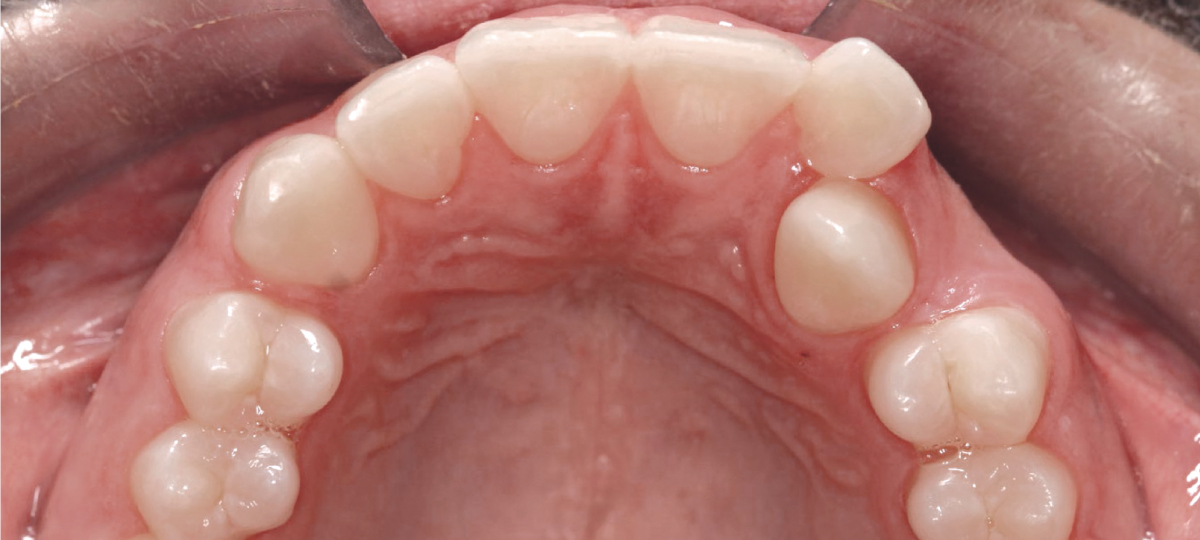
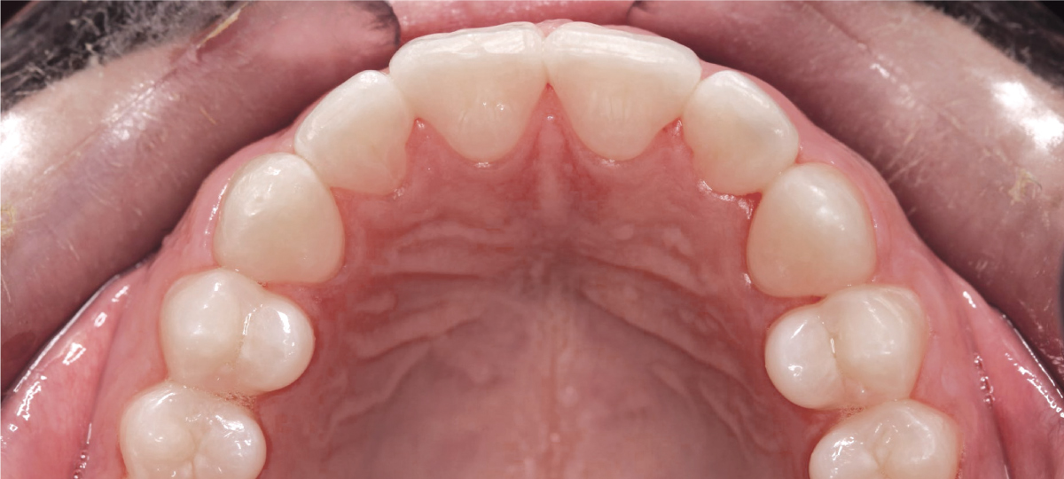
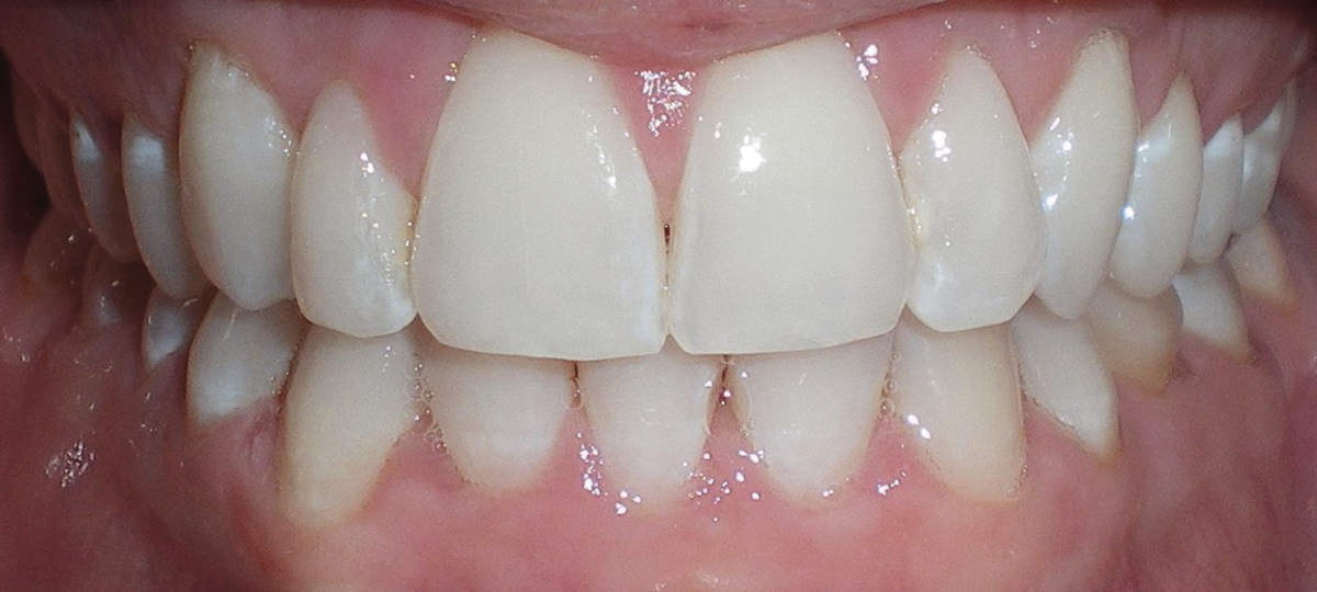
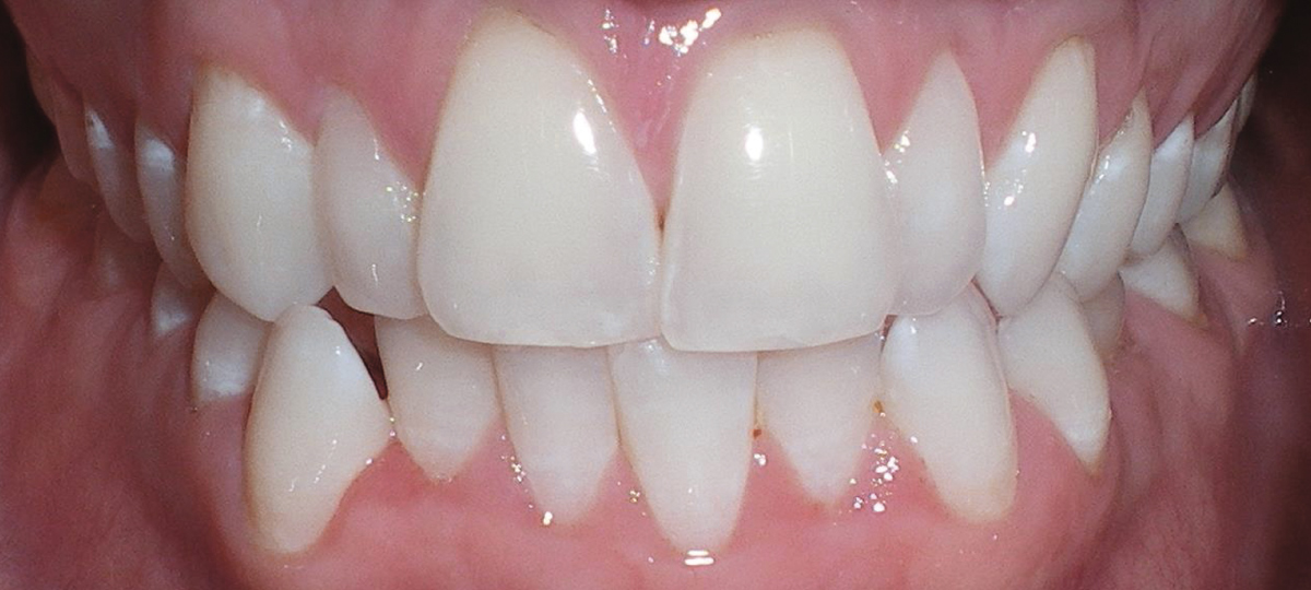
ClearCorrect Works
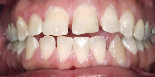
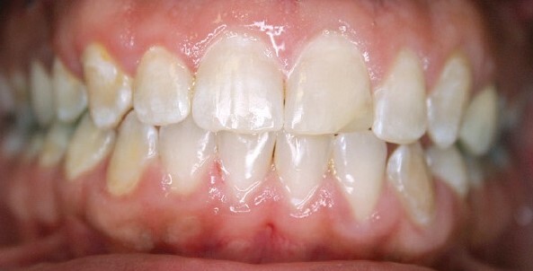
Über eine halbe Million Patienten wie Sie haben ihre Zähne mit ClearCorrect begradigt. Schauen Sie sich unsere Fallgalerie an, um eine bessere Vorstellung davon zu bekommen, was ClearCorrect und Ihr Arzt möglicherweise für Sie tun können.








